Tribune Group GmbH Inc.
Nationally Approved PACE Program
Provider for FAGD/MAGD credit.
Approval does not imply acceptance by
any regulatory authority or AGD endorsement.
7/1/2024 - 6/30/2028.
Provider ID# 355051
Use of Intracanal Dressing and Bioceramic Filling Cement in Endodontic Retreatment
Sponsor: Angelus
Author: Maria Antonieta Veloso Carvalho de Oliveira
Co-authors: Nayara Rodrigues Nascimento Oliveira Tavares, Jessica Monteiro Mendes, Luís Henrique Araújo Raposo, Paulo Vinícius Soares.
RESUME
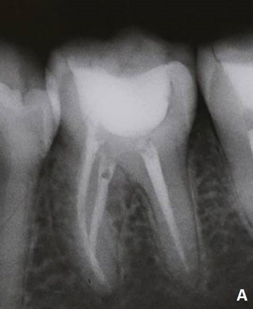
A 25-year-old female patient visited the Dental Hospital with a history of moderate spontaneous pain of short duration for 30 days in tooth 36, which had undergone endodontic treatment two years earlier.
After anesthesia and absolute isolation, the restoration was removed and the coronal opening was performed with spherical diamond tips and a multilaminated inactive tip drill (Endo Z, Angelus Indústria de Produtos Odontológicos S/A, Londrina, Brazil). The filling was removed with a Reciproc #25 file (VDW, Munich, Germany) attached to a motor (VDW). The same file was used for complete canal instrumentation.
Throughout the process, abundant irrigation with 2.5% sodium hypochlorite was performed manually, followed by the insertion of a bioceramic intracanal dressing (BIO-C TEMP, Angelus Indústria de Produtos Odontológicos S/A) into the canals using the applicator tip. The medication was changed twice.
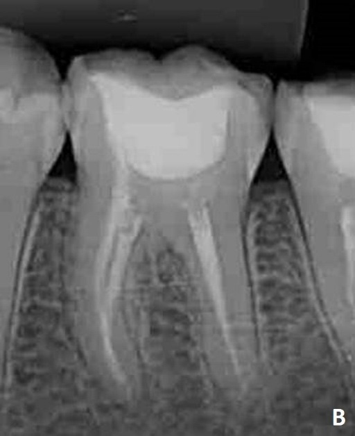
At the last appointment, the tooth showed a reduction in the periapical lesion in the mesial root on radiographic examination, and the patient was symptom-free. The filling was performed using the lateral and vertical condensation technique with MTA-based cement (MTA Fillapex Automistura, Angelus Indústria de Produtos Odontológicos S/A) and gutta-percha cones.
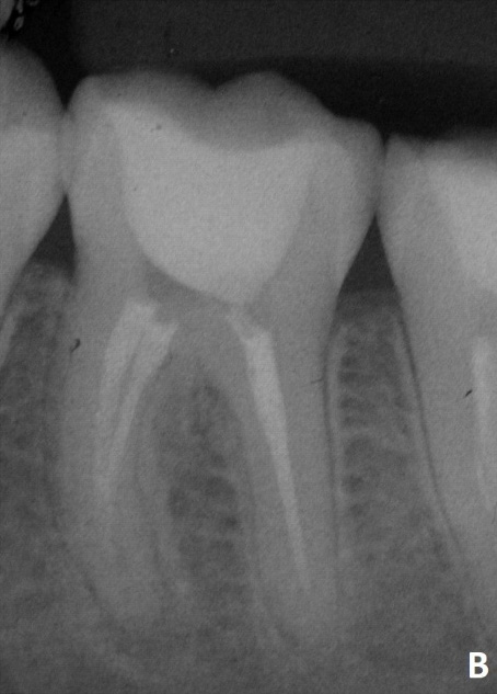
At the follow-up appointment, 1 year and 1 month after root canal filling, the patient reported no discomfort. Clinically, the resin restoration was well adapted, and radiographically there was no evidence of periapical lesion.

Clinical (A) aspects of tooth 36.

Radiographic (B) aspects of tooth 36.

Removal of the filling with a reciprocating file.

Removal of the filling with a reciprocating file.

Material used as dressing — BIOC TEMP.

Insertion of BIOC TEMP into the root canals.

Endodontic cement used — MTA Fillapex.

Clinical appearance of MTA Fillapex.

Final radiographic appearance

Final radiographic appearance