Tribune Group GmbH Inc.
Nationally Approved PACE Program
Provider for FAGD/MAGD credit.
Approval does not imply acceptance by
any regulatory authority or AGD endorsement.
7/1/2024 - 6/30/2028.
Provider ID# 355051
Use of Bio-C Temp as Intracanal Dressing in Endodontic Treatment of Devitalized Teeth After Trauma: A Case Report
Sponsor: Angelus
Author: POLYANA SMIDERLE
RESUME
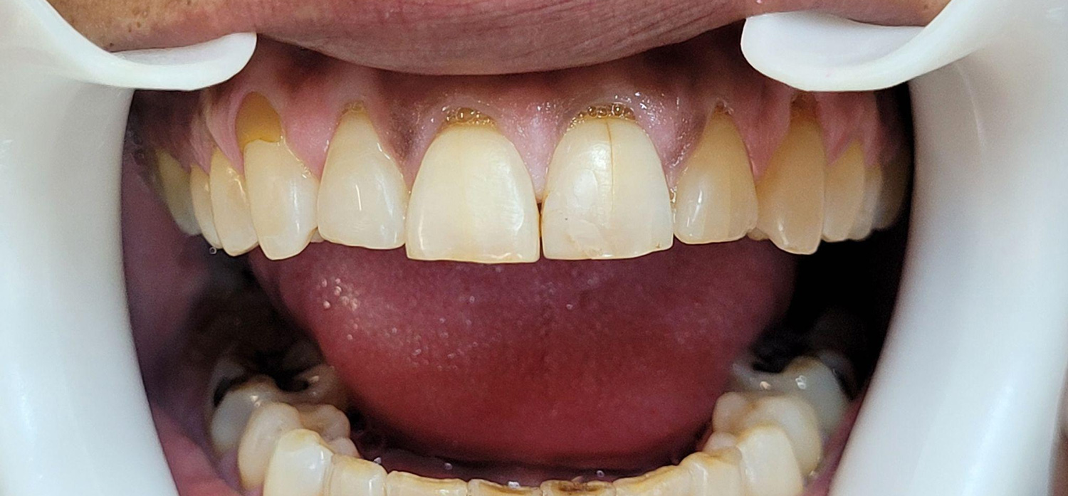
Patient P.S., female, 52 years old, attended the dental clinic complaining of painful sensitivity in tooth 11 and sporadic edema in the sulcus region. The patient also reported a history of trauma (falling off a bicycle) approximately 7 years ago. The clinical examination revealed extensive restoration of the crown of tooth 21 and multiple gingival recessions. The thermal test evaluated the pulp response of the anterior upper teeth, with negative results for teeth 11, 12, and 21. The radiographic examination revealed the presence of periapical lesions in these teeth.
Coronary opening of the three elements was performed, followed by complete isolation of the surgical field using a modified technique (“slot isolation”). Root canal instrumentation was then initiated using a rotary file system and 2.5% sodium hypochlorite as the irrigant. After completion of the instrumentation, the canals were dried and Bio-C Temp (Angelus) intracanal dressing was applied. Follow-up was performed at 30 and 90 days.
During the obturation session, after removal of the intracanal dressing, passive ultrasonic irrigation (PUI) was performed, alternating between hypochlorite and EDTA. The three elements were filled 1 mm from the root apex with MTA Fillapex bioceramic cement (Angelus), using the hydraulic compression technique. The coronal seal was made with Coltosol (Coltene) and resin-modified glass ionomer.
The follow-up appointment after completion of endodontic treatment was performed in 6 months, showing satisfactory results, with adequate bone neoformation and absence of painful symptoms and other signs and symptoms.

Initial clinical presentation.

Initial radiography.


Modified absolute isolation Frontal and palatal vision.

Radiography immediately after application of Bio-C Temp.

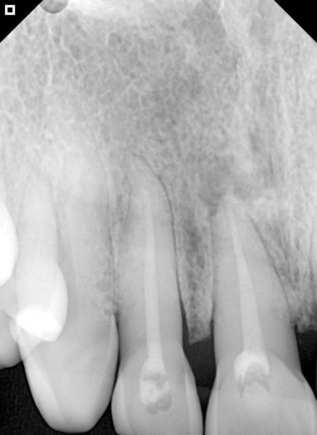
30-day follow-up radiography.

30-day follow-up radiography.

Testing the gutta-percha cones.

Radiography of gutta-percha cones.

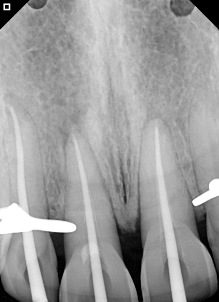
Final radiography (immediate postoperative).

Six-month follow-up radiograph.