Tribune Group GmbH Inc.
Nationally Approved PACE Program
Provider for FAGD/MAGD credit.
Approval does not imply acceptance by
any regulatory authority or AGD endorsement.
7/1/2024 - 6/30/2028.
Provider ID# 355051
Treatment of chronic apical abscess
Sponsor: Angelus
Author: Victor Nóbrega
RESUME
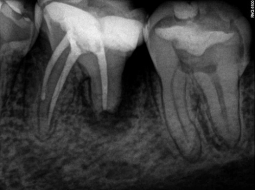
A 27-year-old male patient was referred for endodontic evaluation due to palpation discomfort in element 36. During anamnesis it was reported that the tooth had undergone endodontic treatment for two years and since then the tooth had edema by college entrance exam that disappeared and returned (Figure 1A). At radiographic examination, we observed that the previous treatment was unsatisfactory (Figure 1B), confirming the diagnosis of chronic apical abscess.
After anesthesia and absolute isolation, root canal desobturation was performed with the rotary file system (Figure 2A). For more effective disinfection, the irrigating substances (5.25% Sodium Hypochlorite and 17% EDTA) were activated ultrasonically (PUI). Based on the case history, we chose to perform it in two sessions, placing a calcium silicate-based dressing (Bio-C TEMP) (Figure 2B) and composite resin shielding between sessions. The patient was instructed to return within 15 days.
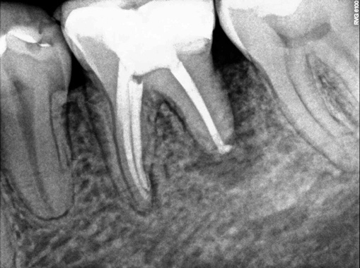
After this period there was remission of signs and symptoms. Bio-C TEMP was removed with saline solution associated with CUI (Continuous Ultrasound Irrigation) and a new irrigation with 5.25% Sodium Hypochlorite. For the root canal filling, the bioceramic-based sealer (Bio-C Sealer) was used (Figures 3 and 4A and 4B).
IMAGES
Figure 1: Clinical aspects (A)
Figure 1: Radiographic aspects (B)
Figure 2: Placement of intracanal dressing (Bio-C Temp)
Figure 2: Placement of intracanal dressing (Bio-C Temp)
Figure 3: Bioceramic-based filling cement used (Bio-C Sealer)
Figure 4: Final clinical aspect (A)
Figure 4: Final radiograph (B)


