Tribune Group GmbH Inc.
Nationally Approved PACE Program
Provider for FAGD/MAGD credit.
Approval does not imply acceptance by
any regulatory authority or AGD endorsement.
7/1/2024 - 6/30/2028.
Provider ID# 355051
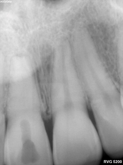
Tooth #11 with a calcified canal following traumatic injury
Sponsor: EdgeEndo
Author: Dr. Maya Feghali
RESUME
Tooth #11 with a calcified canal following traumatic injury. The tooth was symptomatic with positive percussion. The referring dentist attempted root canal treatment without success. The patient presented with a CBCT scan.
After anesthesia, the access cavity was finalized, and the canal was located using LN burs under the microscope. The canal was shaped with an F1 EdgeTaper Blaze Utopia file, and obturation was performed using hydraulic condensation with Edge Bioceramic Flow. Glass ionomer was placed coronally in the canal for internal bleaching preparation.
IMAGES
Post-operative radiograph
Intraoperative radiograph
Mater cone radiograph
Intraoperative photo
CBCT showing calcified canal
CBCT showing calcified canal


