Tribune Group GmbH Inc.
Nationally Approved PACE Program
Provider for FAGD/MAGD credit.
Approval does not imply acceptance by
any regulatory authority or AGD endorsement.
7/1/2024 - 6/30/2028.
Provider ID# 355051
Strategies for endodontic retreatment
Sponsor: Angelus
Author: Dr. Rodrigo Vivan
RESUME
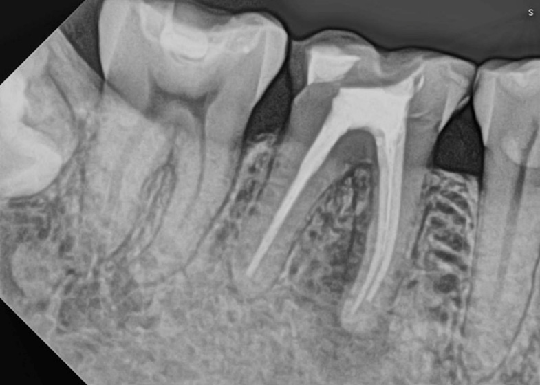
This patient arrived at the office reporting pain upon vertical percussion and during chewing.
Radiographic examination revealed a pepiapical lesion in the mesial root.
In the first session, the obturation material was removed using ultrasound and a dedicated NiTi instrument for obturation removal, along with a significant amount of chemical substance (sodium hypochlorite) and its activation.
In the next session, the articular canals were enlarged to a diameter of 40 and obturated using a cement called Bio-C Sealer via the single-cone technique, followed by sealing with composite resin.
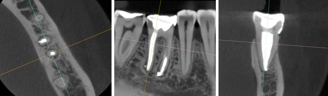
A 6-month tomographic follow-up showed complete reduction of the apical periodontitis.
IMAGES
Initial Xray
Immediate postoperative Xray
6 months PO CBCT


