Tribune Group GmbH Inc.
Nationally Approved PACE Program
Provider for FAGD/MAGD credit.
Approval does not imply acceptance by
any regulatory authority or AGD endorsement.
7/1/2024 - 6/30/2028.
Provider ID# 355051
Endodontic treatment as a treatment for sinusitis of odontogenic origin
Sponsor: Angelus
Author: Dr. Rodrigo Vivan
RESUME
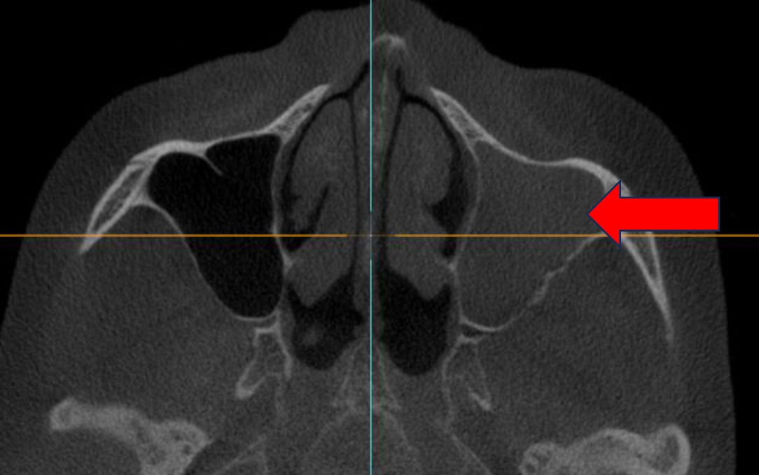
This patient arrived at the office reporting pain when chewing and pain on vertical percussion, and also reported discharge on the affected side. A CT scan revealed odontogenic sinusitis, as there was an infection in tooth 26 near the maxillary sinus. Endodontic treatment was then performed in two sessions using intracanal medication for 14 days. In the following session, obturation was performed with a cement called Bio-C Sealer, followed by a composite resin restoration. A 6-month follow-up CT scan showed complete reduction of the odontogenic sinusitis, an asymptomatic tooth, and complete reduction of nasal discharge.
IMAGES
Initial Xray
CBCT March 2023
CBCT October 2023


