Tribune Group GmbH Inc.
Nationally Approved PACE Program
Provider for FAGD/MAGD credit.
Approval does not imply acceptance by
any regulatory authority or AGD endorsement.
7/1/2024 - 6/30/2028.
Provider ID# 355051
1-Year Follow-Up showing the complete healing of the periapical lesion on teeth #11 and #12
Sponsor: EdgeEndo
Author: Dr. Maya Feghali
RESUME
Tooth #11 underwent apexification using MTA following a traumatic injury 2 years ago.
The initial diagnosis was acute apical abscess. The access cavity was opened by the practitioner for drainage. The treatment was conducted in multiple visit appointments with the use of calcium hydroxide.
The shaping for tooth #11 was mainly manual and for tooth #12 was done with EdgeTaper Blaze Utopia (F2)
IMAGES
Initial CBCT IMAGES showing the complete healing of the lesion
2 years follow up CBCT IMAGES showing the complete healing of the lesion
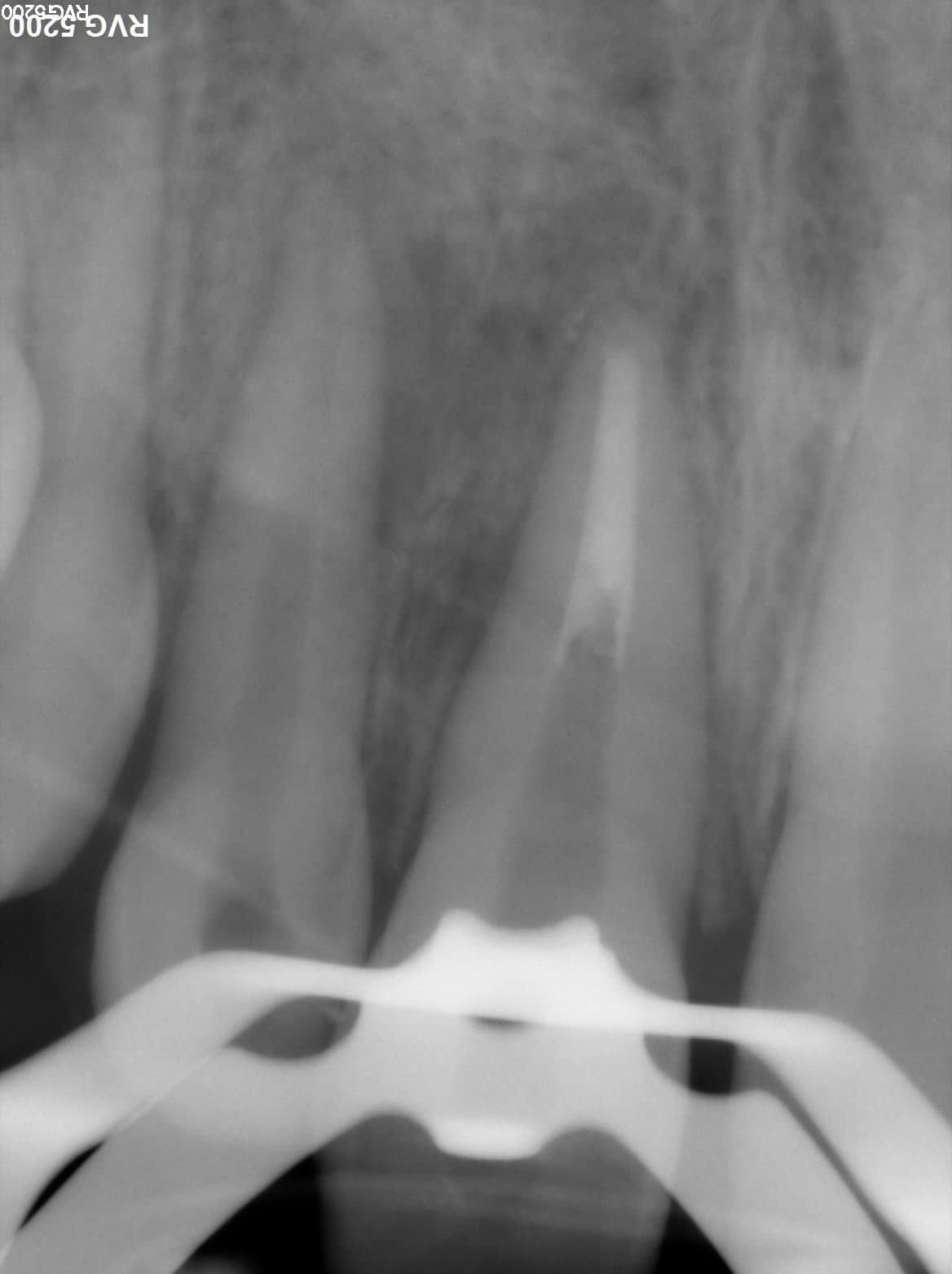
Xray with the plugger reaching the apical area
MTA plug radiograph


